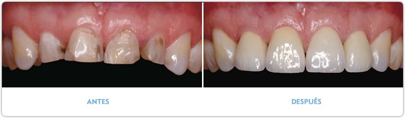
Coronas o Fundas

Coronas o fundas son elementos que cubren o rodean completamente la corona de un diente. Se usan cuando la caries es muy grande y no es posible hacer una obturación con buen pronóstico.
Con frecuencia, dependiendo de la magnitud del daño de la estructura del diente, se requiere reforzarlo mediante un elemento que se ancla en el conducto de la raíz (espiga muñón o poste prefabricado).
El tratamiento se completa con la colocación de la corona o funda, que puede ser confeccionada en porcelana fundida sobre metal o sólo en porcelana libre de metal como lo es la tendencia hoy en día.
Especialidades
